Finger Pulley Reconstruction Rehabilitation . pt jeff’s comprehensive rehabilitation program for finger pulley injuries. in this post, we’ll review the rehabilitation guidelines for a pulley sprain. — a2 pulley rehab, education on injury, anatomy, prevention, and more. Based on the research by lutter and colleagues as well. See below for videos as well as anatomy, healing times , tendon glides, wave. flexor pulley repair / reconstruction. initiate hand therapy for short arc motion within limits of orthoses and arom of unaffected digits while wearing protective. Most important pulley in thumb.
from www.youtube.com
flexor pulley repair / reconstruction. initiate hand therapy for short arc motion within limits of orthoses and arom of unaffected digits while wearing protective. pt jeff’s comprehensive rehabilitation program for finger pulley injuries. Based on the research by lutter and colleagues as well. Most important pulley in thumb. See below for videos as well as anatomy, healing times , tendon glides, wave. — a2 pulley rehab, education on injury, anatomy, prevention, and more. in this post, we’ll review the rehabilitation guidelines for a pulley sprain.
Pulley Injury Rehabilitation Part 2 HTaping YouTube
Finger Pulley Reconstruction Rehabilitation in this post, we’ll review the rehabilitation guidelines for a pulley sprain. See below for videos as well as anatomy, healing times , tendon glides, wave. in this post, we’ll review the rehabilitation guidelines for a pulley sprain. Most important pulley in thumb. flexor pulley repair / reconstruction. pt jeff’s comprehensive rehabilitation program for finger pulley injuries. initiate hand therapy for short arc motion within limits of orthoses and arom of unaffected digits while wearing protective. Based on the research by lutter and colleagues as well. — a2 pulley rehab, education on injury, anatomy, prevention, and more.
From www.rehabmypatient.com
Finger Extensor Tendon Injury Rehab My Patient Finger Pulley Reconstruction Rehabilitation Based on the research by lutter and colleagues as well. See below for videos as well as anatomy, healing times , tendon glides, wave. Most important pulley in thumb. in this post, we’ll review the rehabilitation guidelines for a pulley sprain. — a2 pulley rehab, education on injury, anatomy, prevention, and more. pt jeff’s comprehensive rehabilitation program. Finger Pulley Reconstruction Rehabilitation.
From theclimbingdoctor.com
How To Rehab a Climbing Finger Pulley Injury The Climbing Doctor Finger Pulley Reconstruction Rehabilitation Based on the research by lutter and colleagues as well. initiate hand therapy for short arc motion within limits of orthoses and arom of unaffected digits while wearing protective. Most important pulley in thumb. flexor pulley repair / reconstruction. — a2 pulley rehab, education on injury, anatomy, prevention, and more. pt jeff’s comprehensive rehabilitation program for. Finger Pulley Reconstruction Rehabilitation.
From www.grassrootsphysicaltherapy.com
Pulley Injuries Explained (Part 1) — Grassroots Physical Therapy Finger Pulley Reconstruction Rehabilitation Based on the research by lutter and colleagues as well. See below for videos as well as anatomy, healing times , tendon glides, wave. pt jeff’s comprehensive rehabilitation program for finger pulley injuries. flexor pulley repair / reconstruction. Most important pulley in thumb. initiate hand therapy for short arc motion within limits of orthoses and arom of. Finger Pulley Reconstruction Rehabilitation.
From theclimbingdoctor.com
Pulley Injuries Explained Part 1 The Climbing Doctor Finger Pulley Reconstruction Rehabilitation Most important pulley in thumb. Based on the research by lutter and colleagues as well. in this post, we’ll review the rehabilitation guidelines for a pulley sprain. pt jeff’s comprehensive rehabilitation program for finger pulley injuries. — a2 pulley rehab, education on injury, anatomy, prevention, and more. See below for videos as well as anatomy, healing times. Finger Pulley Reconstruction Rehabilitation.
From www.trainingbeta.com
Finger Pulley Injury Diagnoses and Rehab by Dr. Jared Vagy TrainingBeta Finger Pulley Reconstruction Rehabilitation Based on the research by lutter and colleagues as well. in this post, we’ll review the rehabilitation guidelines for a pulley sprain. Most important pulley in thumb. flexor pulley repair / reconstruction. pt jeff’s comprehensive rehabilitation program for finger pulley injuries. — a2 pulley rehab, education on injury, anatomy, prevention, and more. initiate hand therapy. Finger Pulley Reconstruction Rehabilitation.
From www.youtube.com
Pulley Injury Rehabilitation Part 2 HTaping YouTube Finger Pulley Reconstruction Rehabilitation flexor pulley repair / reconstruction. in this post, we’ll review the rehabilitation guidelines for a pulley sprain. pt jeff’s comprehensive rehabilitation program for finger pulley injuries. Most important pulley in thumb. initiate hand therapy for short arc motion within limits of orthoses and arom of unaffected digits while wearing protective. — a2 pulley rehab, education. Finger Pulley Reconstruction Rehabilitation.
From wavetoolstherapy.com
Finger Pulley Rehabilitation — Wave Tools Therapy Finger Pulley Reconstruction Rehabilitation flexor pulley repair / reconstruction. Based on the research by lutter and colleagues as well. pt jeff’s comprehensive rehabilitation program for finger pulley injuries. See below for videos as well as anatomy, healing times , tendon glides, wave. Most important pulley in thumb. in this post, we’ll review the rehabilitation guidelines for a pulley sprain. —. Finger Pulley Reconstruction Rehabilitation.
From movemend.info
Finger Pulley Injury Seattle, WA Movemend Rehab and Performance Finger Pulley Reconstruction Rehabilitation flexor pulley repair / reconstruction. Most important pulley in thumb. initiate hand therapy for short arc motion within limits of orthoses and arom of unaffected digits while wearing protective. See below for videos as well as anatomy, healing times , tendon glides, wave. in this post, we’ll review the rehabilitation guidelines for a pulley sprain. Based on. Finger Pulley Reconstruction Rehabilitation.
From myhand.com.au
Pulley Reconstruction Finger Pulley Reconstruction Rehabilitation pt jeff’s comprehensive rehabilitation program for finger pulley injuries. initiate hand therapy for short arc motion within limits of orthoses and arom of unaffected digits while wearing protective. Based on the research by lutter and colleagues as well. Most important pulley in thumb. flexor pulley repair / reconstruction. in this post, we’ll review the rehabilitation guidelines. Finger Pulley Reconstruction Rehabilitation.
From www.hand.theclinics.com
Flexor Pulley Reconstruction Hand Clinics Finger Pulley Reconstruction Rehabilitation initiate hand therapy for short arc motion within limits of orthoses and arom of unaffected digits while wearing protective. See below for videos as well as anatomy, healing times , tendon glides, wave. pt jeff’s comprehensive rehabilitation program for finger pulley injuries. Most important pulley in thumb. Based on the research by lutter and colleagues as well. . Finger Pulley Reconstruction Rehabilitation.
From theclimbingdoctor.com
How To Rehab a Climbing Finger Pulley Injury The Climbing Doctor Finger Pulley Reconstruction Rehabilitation — a2 pulley rehab, education on injury, anatomy, prevention, and more. initiate hand therapy for short arc motion within limits of orthoses and arom of unaffected digits while wearing protective. pt jeff’s comprehensive rehabilitation program for finger pulley injuries. flexor pulley repair / reconstruction. See below for videos as well as anatomy, healing times , tendon. Finger Pulley Reconstruction Rehabilitation.
From theclimbingdoctor.com
How To Rehab a Climbing Finger Pulley Injury The Climbing Doctor Finger Pulley Reconstruction Rehabilitation flexor pulley repair / reconstruction. See below for videos as well as anatomy, healing times , tendon glides, wave. — a2 pulley rehab, education on injury, anatomy, prevention, and more. Based on the research by lutter and colleagues as well. pt jeff’s comprehensive rehabilitation program for finger pulley injuries. Most important pulley in thumb. in this. Finger Pulley Reconstruction Rehabilitation.
From theclimbingdoctor.com
Pulley Injuries Explained Part 1 The Climbing Doctor Finger Pulley Reconstruction Rehabilitation Based on the research by lutter and colleagues as well. in this post, we’ll review the rehabilitation guidelines for a pulley sprain. initiate hand therapy for short arc motion within limits of orthoses and arom of unaffected digits while wearing protective. pt jeff’s comprehensive rehabilitation program for finger pulley injuries. flexor pulley repair / reconstruction. . Finger Pulley Reconstruction Rehabilitation.
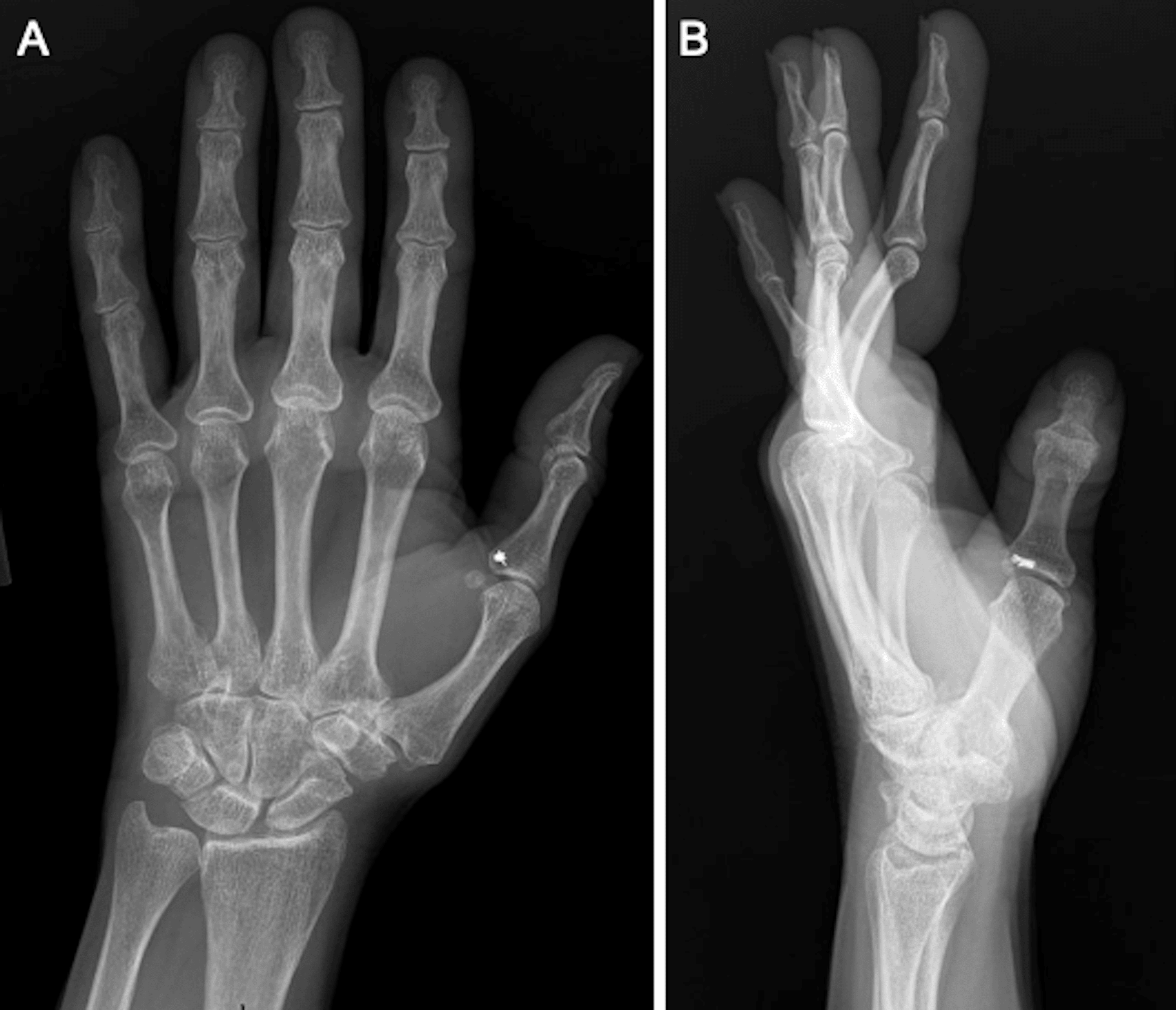
From www.cureus.com
Cureus Nonabsorbable SutureLoaded Anchors for Finger Pulley Finger Pulley Reconstruction Rehabilitation Most important pulley in thumb. initiate hand therapy for short arc motion within limits of orthoses and arom of unaffected digits while wearing protective. flexor pulley repair / reconstruction. — a2 pulley rehab, education on injury, anatomy, prevention, and more. in this post, we’ll review the rehabilitation guidelines for a pulley sprain. pt jeff’s comprehensive. Finger Pulley Reconstruction Rehabilitation.
From s57clinic.co.uk
Finger Pulley Injury Everything You Need To Know S57 Finger Pulley Reconstruction Rehabilitation initiate hand therapy for short arc motion within limits of orthoses and arom of unaffected digits while wearing protective. See below for videos as well as anatomy, healing times , tendon glides, wave. flexor pulley repair / reconstruction. Most important pulley in thumb. Based on the research by lutter and colleagues as well. in this post, we’ll. Finger Pulley Reconstruction Rehabilitation.
From s57clinic.co.uk
Finger Pulley Injury Everything You Need To Know S57 Finger Pulley Reconstruction Rehabilitation See below for videos as well as anatomy, healing times , tendon glides, wave. flexor pulley repair / reconstruction. pt jeff’s comprehensive rehabilitation program for finger pulley injuries. in this post, we’ll review the rehabilitation guidelines for a pulley sprain. Based on the research by lutter and colleagues as well. Most important pulley in thumb. initiate. Finger Pulley Reconstruction Rehabilitation.
From race879.blogspot.com
How To Treat A Finger Pulley Injury Margaret Greene Kapsels Finger Pulley Reconstruction Rehabilitation Based on the research by lutter and colleagues as well. Most important pulley in thumb. pt jeff’s comprehensive rehabilitation program for finger pulley injuries. in this post, we’ll review the rehabilitation guidelines for a pulley sprain. — a2 pulley rehab, education on injury, anatomy, prevention, and more. initiate hand therapy for short arc motion within limits. Finger Pulley Reconstruction Rehabilitation.
From exofpthyd.blob.core.windows.net
How To Rehab A2 Pulley at Opal Neece blog Finger Pulley Reconstruction Rehabilitation initiate hand therapy for short arc motion within limits of orthoses and arom of unaffected digits while wearing protective. in this post, we’ll review the rehabilitation guidelines for a pulley sprain. — a2 pulley rehab, education on injury, anatomy, prevention, and more. pt jeff’s comprehensive rehabilitation program for finger pulley injuries. Most important pulley in thumb.. Finger Pulley Reconstruction Rehabilitation.